كسر عظام الأنف هو أحد الحواث المتكررة خصوصاً في الرجال في عمر الشباب الذين يمارسون رياضات عنيفة، ويُطلق مصطلح "كسر الأنف" عموماً على أي حالة بها كسر بأي عظمة من عظام المناخير المعروفة، وتكمن خطورة هذا الحادث في كونه قريب من الأوعية الدموية المتصلة بالمخ ويقع ضمن المثلث الخطر بالوجه ويجب استشارة الطبيب في أسرع وقت في حال حدوثه، كما سنناقش فيما يلي.
هذا التقرير يلقي الضوء على حالات كسر الأنف من حيث الأسباب والأعراض وخطورة الكسر وأنواع كسور الأنف، وكيفية التشخيص وأفضل خطط العلاج.
أسباب كسر الأنف
غالباً ما يكون حادث اصطدام أثناء ممارسة إحدى الرياضات العنيفة أو مشاجرة أو حادث صدم مروري مثل حوادث السيارات والدراجات البخارية، وتحدث أيضاً بسبب عوامل أخرى لكن ليس بنفس نسبة الحوادث المذكورة.المشاحنات والشجار يعدان أيضاً من الأسباب الشائعة لكسر الأنف.
الأطفال وكبار السن معرضون بنسبة كبيرة لكسر الأنف بغض النظر عن ممارستهم لرياضات عنيفة من عدمه لأن عظامهم تكون أضعف وأكثر قابلية للكسر.
الأطفال وكبار السن معرضون بنسبة كبيرة لكسر الأنف بغض النظر عن ممارستهم لرياضات عنيفة من عدمه لأن عظامهم تكون أضعف وأكثر قابلية للكسر.
تصنيف أنواع حالات كسر الأنف
يعتمد تصنيف حالات انكسار عظام الأنف على اتجاه الصدمة (الخبطة) وقوتها، وتُصنّف كالتالي:أ. صدمة جانبية:
يحدث الكسر في النقطة الأضعف بالأنف بالقرب من خط التحام العظام، وينتج عنه انحراف الأذن على أحد الجانبين.
ب. صدمة من الأمام للخلف، وينتج عنها:
بـ. إذا جاء المريض متأخراً وكان التورّم شديداً:
جـ. إذا ذهب المريض للطبيب متأخراً جداً بعد مرور أكثر من أسبوعين:
- السحق: كسر مضاعف يضم أكثر من عظمة وتتفتت العظام إلى عظيمات صغيرة.
- ارتداد كلتا عظمتي الأنف على البروز الأمامي لعظمة الفك العلوي.
- انضغاط وتداخل عظام الأنف إلى العظمة الغربالية (إحدى عظام الجمجمة) وهو ما قد ينتج عنه ارتشاح سائل المخ وخروجه عبر الأنف.
ما أعراض كسر الأنف؟
تشمل أعراض كسر الأنف ما يلي:
- غالباً يخبر المريض بوقوع حادث معين أو مشاجرة
- ألم شديد بمنطقة الأنف وما حولها ويزيد الألم عند لمس الأنف حتى بلمسة خفيفة
- تورم الأنف وتشوّه منظرها الخارجي وأيضاً تورم الخد وما حول الأنف
- رعاف (نزيف الأنف)
- انسداد المنخرين وعدم القدرة على التنفس من خلالهما
- تحول الجلد إلى اللون الأزرق حول الأنف وتحت العين في عدد من الحالات
- تشوه شكل الأنف
- نزول إفرازات مختلفة من الأنف
علامات يُشاهدها طبيب الأنف والأذن عند الفحص:
- يُشاهد الطبيب تجمعات دموية على الحاجز الأنفي وتهتكات بالأنسجة المخاطية للأنف، ودم متجلط وذلك عن الفحص بواسطة منظار الأنف.
أعراض وعلامات تتطلب التدخل الطبي الفوري
الأعراض التالية تعتبر إنذار خطر شديد ويجب التعامل معها على أنها طواريء، وتستلزم نقل المريض فوراً إلى أقرب مستشفى:
- إذا وجدت أن أنفك ينزف بشدة والنزيف لا يتوقف بالطرق المعتادة
- إذا لاحظت نزول سائل شفاف من أنفك، فهذا قد يكون تسرب للسائل النخاعي
- في حال لاحظت صعوبة في التنفس
- إذا لاحظت اعوجاج أو تشوه أنفك
- في حال كان هناك إصابة في مكان آخر من الوجه، يجب عدم تحريك العنق وطلب الإسعاف
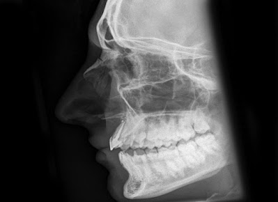
الفحوصات المطلوبة للتشخيص النهائي:
![]() |
| آشعة عادية توضح كسر الأنف |
- آشعة عادية (إكس راي) على عظام الأنف، منظر جانبي: مهم جداً من الناحية القانوينة أيضاً.
طرق علاج كسر الأنف
تحتاج حالات كسر الأنف إلى إسعافات أولية قبل العرض على الطبيب لتحديد العلاج المناسب، ويوجد الكثير من الممارسات الخطأ الشائعة لدى العامة، لذلك سنشرح لكم خطوات الإسعاف الأولي في المنزل أو في مكان الحادث.
خطوات الإسعافات الأولية قبل النقل للمستشفى
إذا لم تكن لديك أي من أعراض الخطر السابق ذكرها أعلاه، يمكنك عمل بعض الإجراءات البسيطة لحين الذهاب للطبيب أو للمستشفى، مثل:
- إذا كان أنفك ينزف، اجلس وانحني للأمام (أكررها: للأمام وليس للخلف) وتنفس عبر فمك، هذا الإجراء يمنع دخول الدم إلى مسار الجهاز الهضمي وبلعه
- لإيقاف النزيف، يمكن استخدام ضمادات مؤقتاً
- إذا لم يكن أنفك ينزف، ارفع رأسك للأعلى (للخلف) وذلك لتقليل الألم
- لتقليل التورم، ضع كمادات ثلج أو ما شابه عليها لمدة 15-20 دقيقة وكرر هذا 3-4 مرات يومياً
- يمكنك تناول مسكنات ألم مثل الباراسيتامول أو البروفين ما لم يكن هناك مانع طبي
خطوات علاج كسر الأنف في المستشفى
الخطوة الأولى والأساسية هي إيقاف النزيف سواء بالضغط بالفوط أو بحقن، ثم تقييم الحالة والتعامل كما يلي:
أ. إذا جاء المريض بعد وقت قصير من وقوع الكسر (بضع ساعات) وكان التورم خفيفاً:- يتم رد الكسر بواسطة الآلات الجراحية البسيطة (ملقاط "والشام وآش" Walsham & Asch).
- يتم تثبيت عظام الأنف المكسورة بواسطة فوط طبية من الداخل وبواسطة دعامة أنف من الخارج.
- يجب الانتظار لمدة 5-7 أيام مع إعطاء مضادات للتورم (ألفنترن وأشباهه أو حقن ألفاكيموتريبسين إذا وصفها الطبيب).
- يُعطى المريض مضادّات حيوية أيضاً.
- بعد أن يخف التورم، يتم رد العظام وتثبيتها كما شرحنا بالأعلى.
- في هذه الحالات تكون العظام قد التحمت بطريقة خطأ ويحدث تشوه بشكل الأنف.
- يجب إجراء جراحة تجميل للأنف بعد 3-6 أشهر من وقوع الحادث.
- يُعطى المريض مضادات حيوية أيضاً.
![]() |
| شكل الأنف المكسور قبل وبعد عملية إصلاح كسر الأنف |
نقطة مهمة يجب الانتباه إليها
العوامل الأهم في حالات كسر الأنف هو توقيت الإصلاح (العلاج) والتعامل مع المُضاعفات، وخصوصاً التجمع الدموي على الحاجز الأنفي، وهو الأكثر حدوثاً والذي قد لا يُلاحظ خصوصاً في المرضى المصابين بغيبوبة.
مضاعفات كسر الأنف
المضاعفات التي يمكن أن تنتج عن صدمات الأنف إذا لم يتم العلاج في الوقت المناسب تشمل ما يلي:
- انحراف الحاجز الأنفي: تختلف درجات انحراف الحاجز الناتج عن كسر الأنف، فبعضها يمكن علاجه بواسطة الأدوية مثل بخاخات الأنف المضادة للاحتقان والبعض الآخر يحتاج للتدخل الجراحي لاستعدال الحاجز الأنفي.
- تجمع دموي بالحاجز الأنفي: في بعض الحالات تتجمع كميات كبيرة من الدم تحت الغشاء المخاطي للحاجز الأنفي مكونة تجمعاً دموياً كبيراً لدرجة أنه يمكن أن يسد أحد منخري الأنف أو كلاهما تماماًً، وهو حالة حرجة تستلزم التفريغ السريع لمنع المضاعفات الشديدة المحتملة وتشوه الأنف الدائم.
- خراج الحاجز الأنفي: يمكن أن يتكون خراج في الحاجز الأنفي إذا أُهمل علاج التجمع الدموي وهذا الخراج يعتبر من المضاعفات الخطيرة نظراً لإمكانية انتقال العدوى إلى المخ عبر الجيب الكهفي.
- كسر غضروف الأنف: وهذا يحدث في حالات حوادث الطرق الكبيرة.
الملخص وأهم النقاط
فيما يلي أهم المعلومات التي يجب الانتباه إليها:
- كسر الأنف يعتبر حالة طوارئ ويجب نقل المريض إلى المستشفى في أقرب وقت
- كلما تم التبكير بالتدخل لعلاج الكسر كانت النتائج أفضل كثيراً
- تأخير أو إهمال العلاج يمكن أن يؤدي إلى حدوث مضاعفات ذات خطورة كبيرة
- للوقاية من كسر الأنف ينصح بارتداء واقي الأنف أثناء ممارسة الرياضات العنيفة قدر الإمكان
هذا المقال أشرف على إعداده ومراجعته دكتور طارق الجرف، استشاري ومدرس جراحة الأنف والأذن والحنجرة بكلية طب قصر العيني، جامعة القاهرة، لحجز موعد في عيادته يرجى التواصل بالاتصال أو واتساب عبر رقم: 01110902919




تعليقات
إرسال تعليق